Miami Beach Dentist

Precious Smiles Gallery

Precious Smiles Cosmetic Dentistry Dental Gallery

At Precious Smiles Cosmetic Dentistry, we believe in the power of a beautiful smile. Our Before & After Gallery showcases real patients who have undergone cosmetic dental treatments to transform their smiles—and their confidence.

From subtle enhancements to dramatic smile makeovers, these photos highlight the incredible results that can be achieved through our wide range of cosmetic dental services, including:

  • Teeth Whitening – See the difference a brighter, whiter smile can make.
  • Porcelain Veneers – Watch how chips, gaps, and discoloration are corrected for a flawless, natural look.
  • Dental Bonding – Discover how small imperfections like cracks or uneven edges can be smoothed and shaped to perfection.
  • Invisalign – View the transformation of smiles with clear aligners, creating straight, well-aligned teeth without traditional braces.
  • Smile Makeovers – Explore comprehensive smile transformations that combine multiple treatments for stunning, life-changing results.

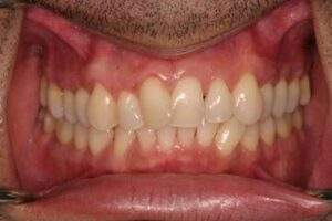
BEFORE INVISALIGN

Miami Beach cosmetic dentist

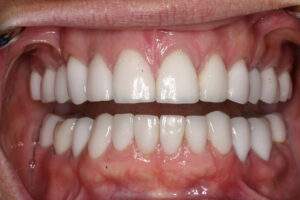
AFTER INVISALIGN

Miami Beach cosmetic dentist

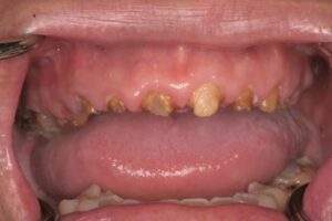
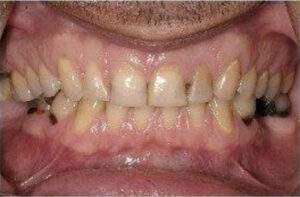
BEFORE FULL RECONSTRUCTION

Miami Beach cosmetic dentist

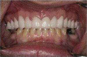
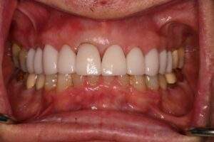
AFTER FULL RECONSTRUCTION

Miami Beach cosmetic dentist

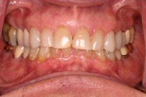
BEFORE FULL RECONSTRUCTION

Miami Beach cosmetic dentist

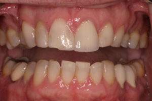
AFTER FULL RECONSTRUCTION

Miami Beach cosmetic dentist

BEFORE UPPER ARCH CASE

Miami Beach cosmetic dentist

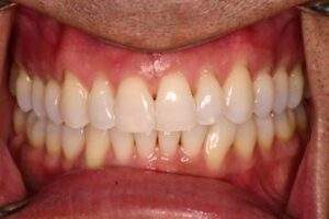
AFTER UPPER ARCH CASE

Miami Beach cosmetic dentist

BEFORE VENEERS

Miami Beach cosmetic dentist

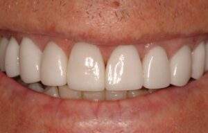
AFTER VENEERS

Miami Beach cosmetic dentist

BEFORE ALL-ON-SIX CASE

Miami Beach cosmetic dentist

ALL-ON-SIX PROSTHESIS

Miami Beach cosmetic dentist

AFTER ALL-ON-SIX CASE

Miami Beach cosmetic dentist